Diseño de sonrisa mínimamente invasivo. Cambia color, tamaño y forma obteniendo un resultado natural de alta estética. Agenda tu valoración y recibe tu propuesta de sonrisa personalizada.
6+ años de experiencia | +1,000 sonrisas transformadas | Odontóloga certificada
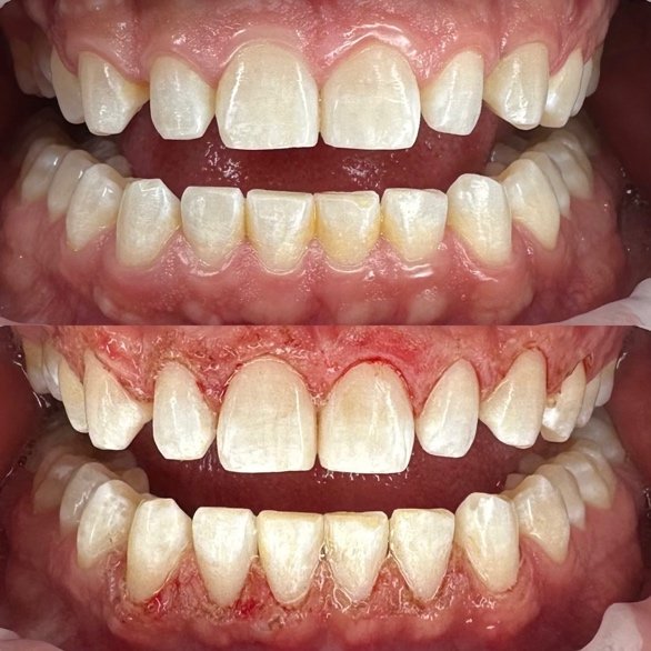
Cada sonrisa es única. Estos son resultados reales de pacientes de la Dra. Gabriela Estrada. Todos los casos mostrados son trabajos en resina. También realizamos carillas cerámicas — consulta en tu valoración.

El diseño de sonrisa está pensado para ti si:
Quieres cambiar color, tamaño o forma de tus dientes con un resultado de apariencia natural.
Tienes manchas por café, vino, tabaco o tratamientos previos que ya no ceden al blanqueamiento.
Tienes pequeños espacios, irregularidades o bordes desgastados en los dientes frontales.
Quieres ver tu resultado antes de empezar con diseño de sonrisa digital.
En tu valoración evaluamos tu caso y te presentamos la técnica ideal — resina de alta estética o carillas cerámicas — según lo que realmente le convenga a tu sonrisa.
Desgastes en bordes incisales — Restauración con resina de alta estética
Cierre de diastemas (espacios entre dientes) — Resina de alta estética
Gingivectomía y gingivoplastía — Corrección de línea gingival
Tu plan de tratamiento es completamente personalizado y se define en tu cita de valoración clínica mediante un diagnóstico integral para ofrecerte la mejor solución según tus necesidades.
Con más de 6 años de experiencia en diseño de sonrisa y odontología integral, mi enfoque se basa en crear tratamientos totalmente personalizados, combinando estética, función, y naturalidad para lograr resultados armónicos que realcen la belleza y devuelvan confianza y seguridad a cada paciente.
Trabajamos con una técnica de mínima invasión y realizamos un diseño de sonrisa digital que te permite visualizar de manera anticipada el resultado final de tu tratamiento.
— Dra. Gabriela Estrada
Ofrecemos una amplia gama de tratamientos de odontología estética. El costo varía según la técnica, material y cantidad de piezas — se determina de forma personalizada en tu cita de valoración.
No. El diseño de sonrisa con resina es un procedimiento mínimamente invasivo y prácticamente indoloro. En la mayoría de los casos no se requiere anestesia. Si se necesita algún ajuste mayor, utilizamos anestesia local para tu total comodidad.
Nuestro objetivo es lograr un resultado de apariencia natural. Utilizamos técnicas de estratificación y materiales de última generación que replican el color, translucidez y textura de los dientes naturales, de manera que el resultado sea difícil de distinguir de un diente sano.
El costo varía según la técnica (resina o cerámica), el número de piezas y las necesidades específicas de cada paciente. En tu cita de valoración te entregamos un plan de tratamiento detallado con costos exactos. Agenda tu valoración sin compromiso.
Antes de iniciar, realizamos un diseño de sonrisa digital que te permite visualizar el resultado final. Ajustamos el diseño digital en conjunto contigo antes de iniciar el tratamiento clínico, para que el plan refleje tus expectativas estéticas desde el inicio.
Sí, es posible realizar un diseño de sonrisa aunque presentes sensibilidad dental. Durante tu valoración evaluamos su causa y adaptamos el tratamiento para controlarla o eliminarla de forma adecuada. En muchos casos, al proteger las estructuras del diente, el diseño de sonrisa puede incluso disminuir la sensibilidad de manera significativa.
1) Valoración clínica y diagnóstico integral. 2) Diseño de sonrisa digital — ves tu resultado antes de empezar. 3) Preparación mínima de los dientes. 4) Colocación de carillas o resinas. 5) Ajustes finales y pulido. Todo en pocas citas dependiendo del caso.
Da el primer paso hacia tu nueva sonrisa. Contáctanos por WhatsApp o llámanos y te atendemos personalmente.
¿Prefieres que te contactemos? Déjanos tus datos:
Diseño de sonrisa en CDMX con la Dra. Gabriela Estrada, especialista en odontología estética y diseño de sonrisa. Ofrecemos tratamientos personalizados en Ciudad de México y Zona Metropolitana. Nuestro consultorio cuenta con tecnología digital para resultados naturales y predecibles. Agenda tu valoración y descubre cómo transformar tu sonrisa.
© 2026 Dra. Gabriela Estrada — Diseño de Sonrisa CDMX | Aviso de Privacidad